Le neuroscienze cognitive rappresentano un campo di studio affascinante e complesso che mira a svelare il profondo legame tra i processi mentali e il sistema nervoso. Questa disciplina interdisciplinare fonde metodologie e teorie provenienti da diverse aree scientifiche, tra cui le neuroscienze, la psicologia, la biologia e l'informatica, con l'obiettivo primario di comprendere come il cervello umano sia in grado di realizzare funzioni cognitive fondamentali quali la memoria, il linguaggio, l'attenzione e la percezione.
Per i giovani laureati che desiderano intraprendere una carriera in questo ambito, la scelta di un percorso di formazione post-laurea adeguato è di cruciale importanza. Master e dottorati offrono le competenze teoriche e pratiche necessarie per accedere a un vasto mercato del lavoro, che spazia dalla ricerca accademica all'industria, fino alle applicazioni cliniche. La padronanza delle metodologie strumentali avanzate è pertanto un prerequisito fondamentale per coloro che aspirano a contribuire significativamente a questo campo in rapida evoluzione.
L'Importanza delle Neuroscienze Cognitive e della Formazione Specifica

Le neuroscienze cognitive si pongono come un ponte tra la nostra comprensione della mente e la nostra conoscenza del cervello. Studiare come i pensieri, le emozioni e le azioni emergono dall'attività neurale è una delle sfide scientifiche più grandi del nostro tempo. L'importanza di questa disciplina è amplificata dalla sua capacità di fornire intuizioni fondamentali sulla natura della cognizione umana, con implicazioni che si estendono dalla comprensione dei disturbi neurologici e psichiatrici allo sviluppo di nuove tecnologie di interfaccia uomo-macchina.
Per navigare con successo in questo complesso panorama, è essenziale acquisire una solida preparazione. I programmi di formazione post-laurea, in particolare i master e i dottorati, sono progettati per fornire agli studenti una conoscenza approfondita e, soprattutto, pratica delle tecniche moderne utilizzate nelle neuroscienze cognitive. Questi programmi non solo rafforzano la base scientifica degli studenti, ma sviluppano anche le competenze critiche indispensabili per una carriera di successo, sia in ambito accademico che nell'industria. La scelta del giusto percorso formativo è quindi un passo strategico che può aprire le porte a un'ampia gamma di opportunità professionali.
Metodologie di Ricerca: Strumenti e Tecniche all'Avanguardia
Le neuroscienze cognitive si avvalgono di una sofisticata gamma di strumenti e metodologie per investigare il funzionamento del cervello. La comprensione e la padronanza di queste tecniche non solo approfondiscono la base scientifica del ricercatore, ma aprono anche la via a numerose opportunità professionali. Tra i metodi più rilevanti, spiccano il neuroimaging e l'elettrofisiologia, che offrono finestre uniche sull'attività cerebrale.
Neuroimaging: Osservare l'Attività Cerebrale
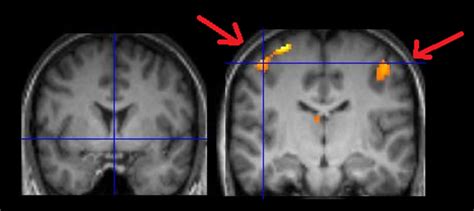
Il neuroimaging rappresenta una risorsa indispensabile nelle neuroscienze cognitive, comprendendo un ventaglio di tecniche che permettono di visualizzare la struttura e la funzione del cervello. Tra le metodologie più diffuse troviamo la Risonanza Magnetica Funzionale (fMRI) e la Tomografia a Emissione di Positroni (PET). Questi strumenti consentono ai ricercatori di osservare quali aree del cervello diventano attive durante l'esecuzione di specifici compiti cognitivi, fornendo mappe dettagliate dell'attività neurale.
La fMRI, in particolare, misura i cambiamenti associati al flusso sanguigno nel cervello, un indicatore indiretto dell'attività neuronale. Questa tecnica offre una risoluzione spaziale eccellente, permettendo di identificare con precisione le regioni cerebrali coinvolte in un dato processo cognitivo. La PET, d'altra parte, utilizza traccianti radioattivi per misurare processi metabolici a livello cerebrale, rivelandosi utile nello studio di malattie neurodegenerative e disturbi cognitivi, nonché per comprendere l'effetto di farmaci sul cervello.

Elettrofisiologia: Misurare l'Attività Elettrica e Magnetica
L'elettrofisiologia si concentra sullo studio delle proprietà elettriche delle cellule neurali, offrendo una visione temporale dell'attività cerebrale con altissima precisione. Due tecniche fondamentali in questo campo sono l'Elettroencefalogramma (EEG) e la Magnetoencefalografia (MEG).
L'EEG registra l'attività elettrica del cervello attraverso elettrodi posizionati sul cuoio capelluto. È una tecnica ampiamente utilizzata per studiare i potenziali legati agli eventi (ERP), che sono variazioni dell'attività elettrica cerebrale che si verificano in risposta a uno stimolo specifico. L'EEG è particolarmente utile per analizzare la tempistica dei processi cognitivi.
La MEG, invece, misura i campi magnetici generati dall'attività elettrica del cervello. Sebbene offra una minore risoluzione spaziale rispetto alla fMRI, la MEG fornisce una maggiore precisione nella localizzazione delle sorgenti neurali rispetto all'EEG, grazie alla sua capacità di misurare i campi magnetici che attraversano il cranio con meno distorsioni rispetto ai segnali elettrici.
Neuromodulazione: Intervenire sull'Attività Cerebrale
Le tecniche di neuromodulazione, come la Stimolazione Magnetica Transcranica (TMS) e la Stimolazione Transcranica a Corrente Continua (tDCS), rappresentano un'altra frontiera entusiasmante nelle neuroscienze cognitive. Questi metodi permettono di influenzare in modo non invasivo l'attività cerebrale, sia per stimolare che per inibire specifiche aree.
La TMS utilizza impulsi magnetici per indurre correnti elettriche in aree specifiche del cervello, alterandone temporaneamente l'attività. È impiegata nella ricerca per studiare la relazione causale tra l'attività di una regione cerebrale e una funzione cognitiva, e trova anche applicazioni cliniche nel trattamento di disturbi come la depressione. La tDCS, invece, utilizza correnti elettriche deboli applicate attraverso elettrodi sul cuoio capelluto per modulare l'eccitabilità neuronale. Anche la tDCS è utilizzata sia nella ricerca che in potenziali trattamenti per una varietà di condizioni neurologiche e psichiatriche.
Le 4 tecniche di stimolazione cerebrale non invasive progettate da Cerebro®
Percorsi di Formazione Post-Laurea e Opportunità di Carriera
La scelta di intraprendere un percorso di formazione post-laurea in neuroscienze cognitive apre le porte a un mercato del lavoro diversificato e in crescita. Master e dottorati rappresentano i pilastri su cui costruire una carriera solida in questo campo.
Master in Neuroscienze Cognitive: Approfondimento e Specializzazione
I programmi di Master in Neuroscienze Cognitive sono progettati per fornire una formazione avanzata che bilancia sapientemente la teoria con la pratica. Durante il percorso, gli studenti hanno l'opportunità di immergersi nella ricerca originale, lavorando a stretto contatto con esperti del settore. Questo tipo di esperienza permette di sviluppare competenze analitiche e tecniche di fondamentale importanza, preparando gli studenti per ruoli accademici, di ricerca e sviluppo nell'industria farmaceutica, biotecnologica, o in aziende focalizzate sulle neurotecnologie.
Un master ben strutturato è spesso il trampolino di lancio ideale per una carriera in questo campo. Gli studenti acquisiscono una conoscenza approfondita delle metodologie strumentali, imparando a progettare esperimenti, analizzare dati complessi e interpretare i risultati nel contesto delle più ampie teorie neuroscientifiche. Le competenze acquisite sono altamente trasferibili e richieste in una varietà di settori.
Dottorato di Ricerca: Contribuire all'Innovazione Scientifica
Il Dottorato di Ricerca (PhD) in Neuroscienze Cognitive rappresenta il culmine della specializzazione accademica. I dottorandi si dedicano alla ricerca innovativa, con l'obiettivo di produrre contributi originali e significativi alla letteratura scientifica. Questo percorso formativo è caratterizzato da un'intensa attività di ricerca, che spesso porta allo sviluppo di nuove metodologie di indagine o all'approfondimento di questioni scientifiche ancora irrisolte.
Durante il dottorato, i ricercatori sviluppano una profonda expertise in una specifica area delle neuroscienze cognitive, imparando a gestire progetti di ricerca complessi, a scrivere articoli scientifici di alto impatto e a presentare i propri risultati a conferenze internazionali. La collaborazione con team interdisciplinari è una componente comune del dottorato, rafforzando la capacità di comunicare idee complesse a un pubblico eterogeneo, un'abilità cruciale per chi aspira a posizioni di leadership sia nel mondo accademico che nell'industria.

Mercato del Lavoro e Potenziali Sbocchi Professionali
Le competenze acquisite attraverso una solida formazione nelle neuroscienze cognitive aprono le porte a una vasta gamma di opportunità professionali, che riflettono la crescente importanza di comprendere il cervello umano.
Ricerca Accademica e Universitaria
Una delle vie più tradizionali per chi si specializza in neuroscienze cognitive è la ricerca accademica. I laureati con dottorato possono aspirare a posizioni di ricercatore o professore universitario, dove contribuiscono all'avanzamento delle conoscenze fondamentali sulle funzioni cerebrali, alla formazione delle future generazioni di scienziati e alla gestione di laboratori di ricerca. Questo percorso offre l'opportunità di esplorare liberamente nuove idee e di contribuire in modo significativo al corpo di conoscenze scientifiche.
Industria Farmaceutica e Biotecnologica
L'industria farmaceutica e biotecnologica rappresenta un settore in forte espansione per i neuroscienziati cognitivi. Aziende che sviluppano nuovi farmaci per disturbi neurologici e psichiatrici, terapie innovative per il miglioramento delle funzioni cognitive, o dispositivi medici avanzati per la diagnosi e il trattamento, cercano attivamente professionisti con competenze specifiche in questo campo. I ruoli possono includere ricerca e sviluppo, analisi di dati clinici, progettazione di studi sperimentali e valutazione di nuove tecnologie.
Neurotecnologie e Interfacce Cervello-Computer
Il settore emergente delle neurotecnologie, che include lo sviluppo di interfacce cervello-computer (BCI), dispositivi di neurofeedback e applicazioni di intelligenza artificiale basate sulla comprensione dei processi neurali, offre opportunità entusiasmanti. I neuroscienziati cognitivi sono fondamentali per comprendere come tradurre l'attività cerebrale in comandi, sviluppare algoritmi di apprendimento machine che imitano i processi cognitivi, e creare soluzioni tecnologiche che migliorano la vita delle persone, ad esempio attraverso protesi avanzate o sistemi di comunicazione per individui con disabilità motorie.
Applicazioni Cliniche e Riabilitazione
Le neuroscienze cognitive hanno anche un impatto diretto sulle applicazioni cliniche. Professionisti con una solida formazione possono lavorare in ospedali e cliniche, utilizzando tecniche di neuroimaging e neuromodulazione per diagnosticare e trattare disturbi neurologici e psichiatrici. La neuroriabilitazione, in particolare, beneficia enormemente delle scoperte nelle neuroscienze cognitive, con lo sviluppo di programmi terapeutici mirati a recuperare o compensare le funzioni cognitive compromesse a seguito di lesioni cerebrali, ictus o malattie degenerative.
Psicologia Clinica e Neuropsicologia
La neuropsicologia, un campo strettamente correlato alle neuroscienze cognitive, si occupa della relazione tra il cervello e il comportamento umano, con un focus particolare sui disturbi cognitivi e comportamentali. I neuropsicologi utilizzano test standardizzati e tecniche di neuroimaging per valutare le funzioni cognitive, diagnosticare condizioni neurologiche e sviluppare piani di trattamento e riabilitazione personalizzati. La formazione in neuroscienze cognitive fornisce una base solida per intraprendere questa carriera, permettendo una comprensione profonda delle basi neurali dei processi mentali.
In sintesi, una robusta formazione nelle neuroscienze cognitive non solo fornisce le fondamenta per una comprensione approfondita delle funzioni cerebrali, ma apre anche a un'ampia gamma di percorsi di carriera gratificanti e stimolanti. La selezione accurata del programma di formazione post-laurea è essenziale per acquisire le competenze necessarie e per cogliere appieno le opportunità offerte da questo dinamico e promettente campo di studio.
L'Integrazione dei Dati per una Teoria Euristica della Mente
Le moderne conoscenze relative alla mente umana, ottenute attraverso tecniche come l'EEG e l'analisi dei potenziali elettromagnetici del cervello, offrono strumenti preziosi per la costruzione di una teoria euristica della mente. Questi segnali, utilizzati come misura oggettiva dei processi mentali sia consci che inconsci, sono fondamentali per integrare le funzioni cognitive ed affettive in una prospettiva evolutiva. Invece di limitarsi a indicare generici correlati nervosi, questi dati permettono di affinare la comprensione delle funzioni cerebrali, specificandone i tempi e le modalità di esecuzione, specialmente quando combinati con altre tecniche di bioimaging. Questa integrazione di dati provenienti da diverse metodologie strumentali è essenziale per costruire modelli completi e predittivi del funzionamento mentale.
Le 4 tecniche di stimolazione cerebrale non invasive progettate da Cerebro®
Neuroimaging Strutturale e Funzionale: Supporto Fondamentale
I metodi di neuroimmagine strutturale e funzionale forniscono un supporto inestimabile alle neuroscienze cognitive e trovano applicazione pratica in ambito neuropsicologico e psicologico clinico. La progettazione e l'analisi di esperimenti che utilizzano tecniche di neuroimaging, come la Risonanza Magnetica Strutturale (sMRI) e la Risonanza Magnetica Funzionale (fMRI), richiedono un insieme di conoscenze pratiche di base. I corsi di laboratorio dedicati a queste tecniche guidano gli studenti attraverso le procedure di processamento e analisi dei dati che godono del maggior consenso nella comunità scientifica. Le applicazioni pratiche spaziano dalle neuroscienze cognitive alla neuropsicologia e alla psicologia clinica, dimostrando la versatilità e l'importanza di queste metodologie.
Il materiale didattico, che può includere dispense e risorse audio-visive in italiano e inglese, viene spesso reso disponibile online, facilitando l'apprendimento interattivo e pratico al computer. La comprensione di queste tecniche è fondamentale per chiunque desideri condurre ricerche all'avanguardia o applicare metodologie avanzate alla pratica clinica.
Il Percorso Formativo: Dalle Lezioni Frontali alle Esercitazioni Pratiche
Un approccio formativo completo nelle neuroscienze cognitive spesso include un numero significativo di ore di didattica frontale, suddivise in lezioni che approfondiscono le diverse tecniche e i loro principi teorici. La frequenza, sebbene talvolta facoltativa, è vivamente consigliata data la complessità degli argomenti trattati. Il programma viene tipicamente esposto tramite lezioni frontali che si avvalgono di presentazioni multimediali, come slide in PowerPoint, e attraverso la discussione critica di articoli scientifici.
L'esame finale, spesso sotto forma di colloquio orale, mira a valutare non solo la conoscenza e la comprensione dei singoli argomenti, ma anche la capacità di integrare le conoscenze acquisite e di riflettere criticamente su di esse. L'uso corretto del lessico disciplinare è un requisito fondamentale per il superamento dell'esame, sottolineando l'importanza di una comunicazione scientifica precisa ed efficace.
Le aree tematiche comunemente trattate includono:
- Tecniche Emodinamiche: fMRI, NIRS (Near-Infrared Spectroscopy).
- Tecniche Neurofisiologiche: EEG, MEG.
- Neuropsicologia: Principi di base, disturbi cognitivi, valutazione e riabilitazione.
- Basi Neurali della Cognizione: Attenzione, memoria, linguaggio, funzioni esecutive.
- Neuroscienze Comportamentali: Focus sulle funzioni cognitive, emotive e prassiche.
- Applicazioni Cliniche: Neuropotenziamento e neuroriabilitazione.

Master Specialistici: Formazione Integrata per Professionisti del Futuro
Master specialistici come quello in "Neuroscienze comportamentali: prevenzione, neuropotenziamento e neuroriabilitazione" mirano a formare figure professionali con competenze operative avanzate. Questi percorsi didattici offrono un'integrazione tra conoscenze teoriche e abilità pratiche, focalizzandosi sull'analisi del funzionamento mentale e sulle principali funzioni cognitive, emotive e prassiche.
Il programma di questi master solitamente copre aree come la percezione, l'attenzione, la memoria, il linguaggio, le emozioni, le funzioni di calcolo, il comportamento prassico e la cognizione sociale. Un aspetto cruciale è la formazione specifica sugli strumenti impiegati per la valutazione, lo sviluppo di protocolli innovativi, e l'impiego di tecniche di neuropotenziamento e neuroriabilitazione. L'inclusione della cognizione sociale, che studia le funzioni deputate alle relazioni interpersonali, evidenzia la crescente attenzione verso gli aspetti più complessi dell'interazione umana.
I destinatari di tali master sono tipicamente laureati in Psicologia, Medicina o discipline affini, che desiderano specializzarsi ulteriormente. L'integrazione di interventi da parte di docenti internazionali, spesso tramite seminari telematici, arricchisce ulteriormente il percorso formativo, offrendo prospettive globali e all'avanguardia.
Competenze Strumentali e di Ricerca per lo Studio del Comportamento
Il cuore della formazione in questo campo risiede nell'acquisizione di competenze teoriche e applicative relative agli strumenti e alle procedure di ricerca in ambito neuroscientifico. Questo include l'apprendimento delle principali metodiche sperimentali e strumentali per le neuroscienze cognitive. Le competenze acquisite sono applicate allo studio del comportamento, dell'organizzazione funzionale e disfunzionale cognitiva ed emotivo-motivazionale, e delle loro basi cerebrali. L'impiego di tecniche sperimentali e specifici strumenti di rilevazione, quali neuroimmagine strutturale e funzionale ed elettrofisiologia cognitiva, è centrale in questo processo.
Il percorso formativo prevede inoltre lo sviluppo di competenze per la neuroriabilitazione e il neuropotenziamento cognitivo ed emotivo-motivazionale, attraverso l'integrazione di tecniche cognitive, emotive e motorie. L'acquisizione di competenze nella progettazione della formazione e nell'intervento nei servizi alla persona, unitamente alla realizzazione di un progetto di intervento e applicazione, completa la preparazione, rendendo i laureati pronti ad affrontare sfide professionali complesse.
Costi e Agevolazioni nella Formazione Specialistica
La partecipazione a master specialistici comporta un investimento economico significativo, con quote di partecipazione che possono aggirarsi intorno ai 5.000 euro. Tuttavia, sono spesso previste agevolazioni, come sconti per i primi iscritti o borse di studio a copertura totale o parziale dei costi, per rendere questi percorsi più accessibili a un numero maggiore di candidati meritevoli. La presenza di borse di studio sottolinea l'importanza che le istituzioni attribuiscono alla formazione di professionisti qualificati in questo campo strategico.
Neuroscienze Cognitive e Neuropsicologia: Un Legame Indissolubile
Il corso di studio si propone di fornire informazioni di base sulla neuropsicologia, intesa come disciplina scientifica che contribuisce allo studio della struttura della mente e della complessa relazione mente-cervello. Particolare attenzione viene dedicata ai disturbi cognitivi dei comportamenti motori, come ad esempio la negligenza spaziale unilaterale, e ai disturbi dei processi esecutivi.
La valutazione delle competenze acquisite può avvenire tramite diverse modalità, come questionari a scelta multipla, dove la precisione nella selezione della risposta corretta è fondamentale, o attraverso la redazione di brevi saggi su temi chiave trattati durante il corso. La padronanza del lessico specifico della disciplina è essenziale per dimostrare una comprensione approfondita e la capacità di comunicare concetti complessi in modo chiaro e accurato.
Contributi Fondamentali alla Ricerca Neuroscientifica
La ricerca condotta da studiosi come E. Paulesu e i suoi collaboratori ha significativamente ampliato la nostra comprensione delle basi neurali di diversi processi cognitivi e comportamentali. I loro studi, pubblicati su riviste scientifiche di alto profilo come Nature, Science e PNAS, hanno esplorato una vasta gamma di argomenti, tra cui:
- Basi neurali della memoria di lavoro verbale: Dimostrando come specifiche aree cerebrali supportino la componente verbale della memoria di lavoro.
- Modulazione dell'esperienza cosciente: Indagando come stimoli sensoriali periferici possano influenzare la nostra percezione cosciente.
- Percorsi neurali centrali: Mappando le vie nervose che mediano esperienze complesse come l'angina pectoris.
- Effetti culturali sul cervello: Evidenziando come fattori culturali possano influenzare l'elaborazione cerebrale di determinati stimoli.
- Dislessia e unità biologica: Esplorando la diversità culturale e l'unità biologica sottostante la dislessia.
- Consapevolezza motoria e controllo motorio: Mostrando la sovrapposizione anatomica tra la consapevolezza motoria e il controllo del movimento.
- Basi neurofunzionali dell'azione intenzionale: Dissezionando i meccanismi cerebrali che sottendono l'azione volontaria.
- Osservazione dell'azione e interattività del compito: Studiando come l'interattività di un compito influenzi l'osservazione delle azioni altrui.
- Costruzione dell'autoconsapevolezza corporea: Esaminando la convergenza tra informazioni interocettive ed esterocettive.
- Analisi quantitativa di dati di neuroimmagine: Sviluppando nuovi strumenti per la meta-analisi quantitativa dei dati di neuroimmagine.
- Educazione musicale e sviluppo cognitivo: Investigando gli effetti dell'addestramento musicale in età scolare.
- Controllo premotorio degli arti inferiori: Analizzando come l'invecchiamento influenzi il controllo motorio durante la deambulazione simulata.
- Correlati neurali della disforia dell'integrità corporea: Comprendendo le basi cerebrali di disturbi legati alla percezione del proprio corpo.
- Risposte autonomiche a stimoli emotivi: Predicendo l'esito dopo lesioni cerebrali gravi basandosi sulle risposte a stimoli emotivi.
- Influenza dei segnali visivi sul cervello: Studiando come i segnali visivi influenzino i pattern di attività cerebrale durante la deambulazione simulata.
- Recupero della deambulazione dopo intervento chirurgico: Dimostrando come l'addestramento all'immaginazione motoria acceleri il recupero della deambulazione.
- Profilo cognitivo dei membri della mafia: Identificando tratti cognitivi associati al rischio patologico.
- Effetti dell'immobilizzazione post-chirurgica: Studiando come l'immaginazione dei movimenti possa contrastare gli effetti negativi dell'immobilizzazione.
- Connettività effettiva antagonista: Analizzando i pattern di connettività cerebrale nell'ambito della sindrome di Tourette.
- Deficit interocettivi e avversione al cibo: Esplorando la relazione tra deficit interocettivi e disturbi alimentari.
- Basi neurali dell'immaginazione motoria: Studiando come l'immaginazione di movimenti influenzi le basi neurali.
- Connettività funzionale alterata nell'obesità: Investigando le alterazioni nella connettività cerebrale in individui obesi, in particolare riguardo al desiderio di cibo.
Questi studi, attraverso l'uso di metodologie strumentali avanzate, hanno fornito prove concrete su come il cervello elabora informazioni, genera emozioni, controlla il movimento e come queste funzioni possano essere alterate in diverse condizioni patologiche. La ricerca sull'obesità, ad esempio, ha rivelato come aree cerebrali coinvolte nella motivazione e nell'elaborazione visiva degli stimoli alimentari presentino una connettività funzionale alterata, contribuendo a una migliore comprensione dei meccanismi alla base del desiderio patologico di cibo.
L'integrazione delle conoscenze provenienti da diverse tecniche di neuroimaging e dall'elettrofisiologia è fondamentale per costruire una comprensione olistica della mente umana e per sviluppare interventi efficaci volti a migliorare la salute cognitiva e il benessere.
tags: #metodi #struentali #nelle #neuroscienze #cognitive #paulesu