L'interazione tra farmaci antidepressivi e il sistema respiratorio, in particolare la pleura, è un'area di crescente interesse medico. Sebbene gli antidepressivi siano ampiamente prescritti per trattare disturbi dell'umore e altre condizioni psichiatriche, è fondamentale comprendere i loro potenziali effetti collaterali, alcuni dei quali possono manifestarsi a livello polmonare e pleurico. Questo articolo esplorerà la complessa relazione tra l'uso di antidepressivi e l'insorgenza di effusione pleurica, analizzando meccanismi, presentazioni cliniche e implicazioni diagnostiche e terapeutiche.
Comprendere l'Effusione Pleurica
Prima di addentrarci nel legame con gli antidepressivi, è essenziale definire cos'è un'effusione pleurica. La pleura è una sottile membrana a doppio strato che riveste i polmoni e la cavità toracica. Lo spazio tra questi due strati, chiamato spazio pleurico, contiene una piccola quantità di liquido che agisce come lubrificante, permettendo ai polmoni di espandersi e contrarsi senza attrito durante la respirazione. Un'effusione pleurica si verifica quando si accumula una quantità eccessiva di liquido in questo spazio.

Le cause dell'effusione pleurica sono molteplici e possono includere condizioni come insufficienza cardiaca congestizia, polmonite, embolia polmonare, cirrosi epatica, malattie renali e, in casi più rari, neoplasie. Tuttavia, l'induzione da parte di farmaci rappresenta una categoria distinta e importante da considerare, soprattutto in contesti clinici in cui le cause più comuni sono state escluse.
Antidepressivi e Possibili Manifestazioni Polmonari
Gli antidepressivi, sebbene generalmente sicuri ed efficaci, possono, come molti altri farmaci, indurre una varietà di effetti collaterali. Tra questi, sono state segnalate manifestazioni polmonari, sebbene non siano comuni. Queste possono variare da reazioni di ipersensibilità a disturbi più specifici come la polmonite eosinofila.
La polmonite eosinofila acuta (AEP) è una patologia polmonare rara, potenzialmente pericolosa per la vita, caratterizzata dall'infiltrazione eosinofila del parenchima polmonare. Mentre è solitamente idiopatica o associata a eziologie infettive o indotte da farmaci, l'AEP indotta da sertralina è eccezionalmente rara.
Il Caso della Sertralina e la Polmonite Eosinofila Acuta
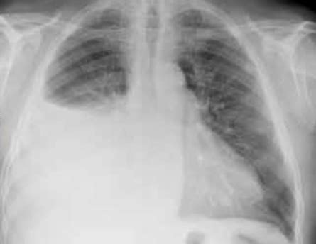
Un caso clinico emblematico evidenzia la potenziale connessione tra un antidepressivo specifico, la sertralina, e l'insorgenza di un quadro polmonare con effusione pleurica. In questo scenario, una giovane donna di 25 anni si è presentata con febbre, dispnea e insufficienza respiratoria ipossica dopo due mesi di utilizzo di sertralina e l'inizio recente del fumo di sigaretta.
Le indagini di imaging toracico hanno rivelato infiltrati alveolo-interstiziali bilaterali diffusi e un'effusione pleurica bilaterale. Le estese indagini microbiologiche e autoimmuni sono risultate negative, escludendo altre cause comuni. L'eosinofilia è stata identificata nel lavaggio broncoalveolare (BAL) e nella citologia del liquido pleurico, suggerendo la diagnosi di AEP.
Questo caso sottolinea l'importanza di una storia farmacologica dettagliata e di una valutazione multidisciplinare nella diagnosi di AEP. L'associazione temporale tra l'inizio della sertralina e l'insorgenza dei sintomi, combinata con i reperti eosinofili, supporta la sertralina come probabile agente eziologico.

Ruolo dell'Effusione Pleurica nell'AEP Indotta da Farmaci
Mentre le effusioni pleuriche bilaterali sono comuni nell'AEP in generale, i rapporti di coinvolgimento pleurico eosinofilo nelle forme indotte da farmaci sono rari. Il caso descritto evidenzia la necessità di essere consapevoli delle cause farmacologiche atipiche di AEP.
La paziente ha richiesto il ricovero in terapia intensiva con ventilazione non invasiva e drenaggio pleurico bilaterale, che hanno significativamente migliorato i parametri respiratori. La sospensione della sertralina e l'inizio di una terapia sistemica con corticosteroidi hanno portato a un rapido miglioramento clinico e radiologico.
Al follow-up, la paziente è rimasta asintomatica con completa risoluzione delle anomalie radiografiche e normalizzazione della funzione polmonare. Questo indica che l'AEP indotta da sertralina è una condizione rara, potenzialmente pericolosa per la vita ma reversibile.
Meccanismi Patogenetici Potenziali
I meccanismi esatti attraverso i quali alcuni antidepressivi possono indurre effusione pleurica o AEP non sono completamente compresi, ma diverse ipotesi sono state proposte.
Una delle teorie principali coinvolge una reazione di ipersensibilità immunologica. In questo scenario, il farmaco o un suo metabolita potrebbe agire come antigene, scatenando una risposta immunitaria che coinvolge gli eosinofili. Gli eosinofili sono un tipo di globuli bianchi che svolgono un ruolo nella risposta immunitaria, ma la loro eccessiva accumulo in tessuti come i polmoni può causare infiammazione e danno tissutale.
Il farmaco potrebbe legarsi a proteine nel polmone o nella pleura, formando un complesso antigene-anticorpo. Questo complesso potrebbe poi attirare gli eosinofili, portando alla loro infiltrazione nel parenchima polmonare e nello spazio pleurico. La presenza di eosinofilia nel BAL e nel liquido pleurico in casi come quello descritto supporta questa ipotesi.
Un altro meccanismo potenziale potrebbe essere legato a effetti diretti del farmaco sulle cellule epiteliali o endoteliali dei polmoni o della pleura, alterando la permeabilità vascolare e favorendo la trasudazione di liquido e l'infiltrazione cellulare.
Inoltre, fattori individuali come la predisposizione genetica, la presenza di allergie preesistenti o altre condizioni mediche potrebbero influenzare la suscettibilità di un individuo a sviluppare tali reazioni avverse.
Differenziare tra Tipi di Effusione Pleurica
È cruciale differenziare tra un'effusione pleurica trasudativa e una essudativa. Le trasudazioni sono causate da squilibri sistemici nella pressione idrostatica o oncotica, come nell'insufficienza cardiaca o nella cirrosi. Le essudazioni, invece, sono dovute a infiammazione locale, infezioni o malignità, che aumentano la permeabilità della pleura.
Nel contesto di una sospetta reazione indotta da farmaci, un'effusione essudativa con marcata eosinofilia è particolarmente suggestiva di una causa farmacologica, come l'AEP. L'analisi del liquido pleurico, inclusa la conta differenziale delle cellule, la citologia, il dosaggio delle proteine e del lattato deidrogenasi (LDH), è fondamentale per la classificazione.
L'Importanza dell'Anamnesi Farmacologica
Questo caso mette in risalto l'importanza critica di un'anamnesi farmacologica completa e dettagliata. Quando un paziente presenta sintomi respiratori inspiegabili, è essenziale indagare su tutti i farmaci assunti, inclusi quelli da banco, integratori e sostanze ricreative. La tempistica dell'inizio dei sintomi rispetto all'introduzione di un nuovo farmaco è un indizio fondamentale.
Nel caso della sertralina, l'insorgenza dei sintomi dopo due mesi di utilizzo, sebbene non immediata, rientra in un lasso di tempo compatibile con lo sviluppo di una reazione di ipersensibilità ritardata. L'ulteriore fattore scatenante del fumo di sigaretta potrebbe aver giocato un ruolo nell'esacerbare la reazione o nel renderla clinicamente manifesta.
Gli antidepressivi SSRI e i loro effetti collaterali
Approccio Diagnostico e Terapeutico
L'approccio diagnostico a un paziente con effusione pleurica e sospetta associazione con antidepressivi dovrebbe essere sistematico:
- Anamnesi completa: Inclusa storia farmacologica dettagliata, esordio dei sintomi, fattori scatenanti.
- Esame obiettivo: Valutazione dei segni vitali, auscultazione polmonare.
- Imaging: Radiografia del torace e, se necessario, TC torace per valutare l'estensione degli infiltrati polmonari e l'effusione pleurica.
- Analisi del liquido pleurico: Raccolta tramite toracentesi diagnostica per analisi biochimiche, citologiche e colturali. La presenza di eosinofilia significativa (>10% degli eosinofili nel liquido pleurico) è un forte indicatore di cause non infettive o non neoplastiche, incluse le reazioni farmacologiche.
- Valutazione ematologica: Emocromo completo con formula leucocitaria per identificare eosinofilia sistemica.
- Esclusione di altre cause: Indagini per escludere infezioni, embolia polmonare, malattie autoimmuni e neoplasie.
Una volta stabilita la sospetta diagnosi di effusione pleurica indotta da farmaci (come l'AEP indotta da sertralina), il trattamento primario consiste nella sospensione immediata del farmaco sospetto.
Nel caso della sertralina, la sospensione del farmaco è stata cruciale. Inoltre, la terapia con corticosteroidi sistemici è spesso indicata per gestire l'infiammazione e l'infiltrazione eosinofila. La risposta a questi trattamenti è solitamente rapida e significativa, come osservato nel caso clinico presentato.
Nei casi di effusione pleurica significativa che causano distress respiratorio, il drenaggio pleurico può essere necessario per alleviare la pressione sui polmoni e migliorare la funzione respiratoria. La ventilazione non invasiva può essere utilizzata per supportare la respirazione nei pazienti con insufficienza respiratoria ipossica.
Considerazioni sulla Sertralina e Altri Antidepressivi
La sertralina appartiene alla classe degli inibitori selettivi della ricaptazione della serotonina (SSRI), una delle classi di antidepressivi più prescritte. Sebbene le reazioni polmonari gravi associate agli SSRI siano rare, questo caso serve come promemoria che ogni farmaco, anche quelli considerati sicuri, può avere effetti avversi inaspettati.
Altri antidepressivi, inclusi quelli appartenenti a classi diverse come gli antidepressivi triciclici (TCA) o gli inibitori delle monoamino ossidasi (MAOI), sono stati associati a vari effetti collaterali polmonari in passato, sebbene meno frequentemente rispetto ad altre classi di farmaci. Tuttavia, la sorveglianza post-marketing continua a monitorare e documentare potenziali eventi avversi rari.
È importante notare che l'insorgenza di sintomi respiratori in pazienti che assumono antidepressivi non implica automaticamente che il farmaco sia la causa. Molti pazienti in trattamento antidepressivo possono avere condizioni mediche concomitanti o sviluppare patologie respiratorie indipendenti. La chiave sta nell'attenta valutazione clinica e nell'applicazione del principio di "causalità farmacologica".
Implicazioni Cliniche e Prospettive Future
Questo caso clinico sottolinea l'importanza di un approccio proattivo nella gestione dei pazienti che assumono antidepressivi, specialmente se sviluppano sintomi nuovi o inaspettati. La collaborazione tra psichiatri, pneumologi e medici di medicina generale è fondamentale per garantire una diagnosi tempestiva e un trattamento appropriato.
La ricerca futura potrebbe concentrarsi sull'identificazione di biomarcatori che possano predire quali pazienti sono a maggior rischio di sviluppare reazioni polmonari o pleuriche indotte da antidepressivi. Comprendere meglio i meccanismi genetici e immunologici sottostanti potrebbe portare a strategie preventive o terapeutiche più mirate.
Inoltre, la sensibilizzazione della comunità medica riguardo a queste rare ma potenzialmente gravi reazioni avverse è essenziale. La documentazione di casi come questo negli archivi medici e nella letteratura scientifica contribuisce a costruire una base di conoscenze che può aiutare altri clinici a riconoscere e gestire situazioni simili in futuro.
L'era della medicina personalizzata richiede un'attenzione sempre maggiore alle risposte individuali ai farmaci. Mentre gli antidepressivi continuano a essere uno strumento terapeutico prezioso, la vigilanza sugli effetti collaterali, anche quelli rari, rimane un pilastro della pratica clinica sicura ed efficace.
La gestione di un paziente con effusione pleurica di origine indeterminata, soprattutto in assenza di fattori di rischio evidenti, dovrebbe sempre includere una considerazione delle potenziali cause farmacologiche, con un'enfasi particolare sui farmaci comunemente prescritti come gli antidepressivi. La tempestiva identificazione e rimozione del farmaco causale, spesso associata a un trattamento con corticosteroidi, può portare a un recupero completo e prevenire complicazioni a lungo termine.
tags: #versamento #pleurico #e #antidepressivi