La neuropsichiatria infantile rappresenta una disciplina medica cruciale, dedicata alla diagnosi e al trattamento delle affezioni organiche e funzionali del sistema nervoso nei bambini e negli adolescenti, un'età che spazia dai 0 ai 18 anni. L'attività in questo campo si esplica attraverso indagini neurologiche approfondite, che abbracciano anche i disturbi di natura psichiatrica. La complessità del sistema nervoso in età evolutiva richiede un approccio multidisciplinare e altamente specializzato, in grado di affrontare una vasta gamma di condizioni che possono influenzare lo sviluppo cognitivo, emotivo e motorio del giovane paziente.

Campi di Applicazione e Patologie Trattate
I principali campi di applicazione della neuropsichiatria infantile includono una serie di patologie complesse e delicate. Tra queste figurano le malattie neuro metaboliche, condizioni ereditarie o acquisite che alterano il normale metabolismo del sistema nervoso, compromettendone la funzionalità. Le malformazioni del sistema nervoso rappresentano un altro gruppo di disturbi significativi, derivanti da alterazioni durante lo sviluppo embrionale o fetale. Le malattie neuromuscolari, che colpiscono i nervi e i muscoli, possono causare debolezza, paralisi e altri deficit motori. Le neuropatie, ovvero le affezioni dei nervi periferici, possono manifestarsi con una varietà di sintomi, tra cui dolore, intorpidimento e perdita di forza.
I disturbi del movimento, come il tremore, la discinesia o la distonia, richiedono un'attenta valutazione per identificarne le cause sottostanti e impostare un trattamento mirato. L'epilessia, una patologia neurologica cronica caratterizzata da crisi convulsive ricorrenti, necessita di un monitoraggio costante e di terapie farmacologiche specifiche. La cefalea, o mal di testa, in età evolutiva può essere sintomo di diverse condizioni e merita un'indagine approfondita per escludere patologie più gravi. Il ritardo mentale, definito come una compromissione significativa delle capacità intellettive e adattive, richiede un intervento precoce e un supporto continuativo. Infine, le sindromi neuro genetiche, associate a specifiche alterazioni cromosomiche o geniche, spesso presentano un quadro clinico complesso che coinvolge diversi aspetti dello sviluppo.
Metodologie Diagnostiche Integrate
La valutazione clinica del paziente è un processo fondamentale che viene integrato e potenziato da molteplici tipologie di indagine strumentale. L'elettroencefalogramma (EEG), nelle sue diverse varianti come l'EEG da veglia, l'EEG da sonno, l'EEG-poligrafia, il video-EEG e l'EEG-Holter, permette di studiare l'attività elettrica cerebrale e di individuare eventuali anomalie, come quelle tipiche dell'epilessia. L'elettromiografia (EMG) e l'elettroneurografia (ENG) sono tecniche essenziali per valutare la funzionalità dei nervi e dei muscoli, utili nella diagnosi di malattie neuromuscolari e neuropatie.
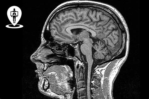
Le tecniche di imaging come la Tomografia Assiale Computerizzata (TAC) e la Risonanza Magnetica (MRI) offrono immagini dettagliate del cervello e del midollo spinale, permettendo di identificare malformazioni, lesioni o altre alterazioni strutturali. La Risonanza Magnetica Angiografica (MRA) visualizza i vasi sanguigni cerebrali, mentre la Risonanza Magnetica Spettroscopica (MRS) fornisce informazioni sul metabolismo cerebrale.

Oltre agli esami strumentali, vengono condotte indagini bio-umorali e neuro metaboliche di secondo e terzo livello. Queste includono esami tossicologici per farmaci antiepilettici, utili per monitorare i livelli terapeutici e prevenire la tossicità, ed esami liquorali specifici, che analizzano il liquido cerebrospinale per individuare segni di infezione, infiammazione o altre anomalie. La biopsia cutanea con coltura di fibroblasti e la biopsia muscolare con analisi biochimica permettono di studiare direttamente i tessuti, ricercando specifiche alterazioni metaboliche o genetiche. Particolare attenzione viene dedicata alle indagini per malattie lisosomiali, mitocondriali, perossisomiali e del metabolismo intermedio, condizioni complesse che richiedono approcci diagnostici sofisticati.
Le indagini neuro genetiche, come il cariotipo, l'a-CGH (array Comparative Genomic Hybridization) e l'analisi di geni specifici, sono fondamentali per identificare alterazioni genetiche che possono essere alla base di molteplici disturbi dello sviluppo neurologico e sindromi neuro genetiche.
Percorsi di Cura e Terapeutici
La valutazione clinica, sia che avvenga su bambini ricoverati in regime ordinario o in day service (letti in Divisione Pediatria), sia su bambini in day service ambulatoriale (DSA - Disturbi Specifici dell'Apprendimento), si conclude sempre con la definizione delle indicazioni terapeutiche. Queste indicazioni sono personalizzate in base alla diagnosi specifica e alle esigenze del singolo paziente, e possono includere trattamenti farmacologici, terapie riabilitative, supporto psicologico e interventi psicoeducativi.
I disturbi specifici dell'apprendimento (DSA) spiegati da OPPV in collaborazione con #TELOSPIEGO
Attività di Ricerca, Didattica e Formazione
La Struttura Complessa di Neuropsichiatria Infantile (NPI) non si limita alla pratica clinica, ma svolge anche un'importante attività di ricerca. Un esempio significativo è il progetto triennale Università-Regione Emilia Romagna "ER-MITO", focalizzato sulle malattie mitocondriali in età infantile, che mira a migliorare la comprensione e il trattamento di queste patologie rare. L'attività scientifica si estende alla pubblicazione di risultati di ricerca su riviste mediche internazionali, contribuendo alla diffusione delle conoscenze nel campo.
Inoltre, la struttura è attivamente coinvolta nell'attività didattica e di formazione. Medici specializzandi in Neuropsichiatria Infantile presso l'Università di Parma, così come specializzandi in Pediatria e in Neuropsichiatria Infantile presso altre università, svolgono periodi di formazione all'interno della struttura, acquisendo competenze pratiche e teoriche.
Organizzazione e Modello di Intervento
La Struttura Complessa di Neuropsichiatria dell’Infanzia e dell’Adolescenza (S.C. NPIA) è un'articolazione fondamentale del Dipartimento di Salute Mentale e delle Dipendenze. La sua missione è assicurare i livelli essenziali di assistenza nell'area dei disturbi neuropsichici dell'età evolutiva (0-18 anni). Questo avviene attraverso un'organizzazione efficiente, una gestione attenta e la produzione di prestazioni mirate alla prevenzione, diagnosi, cura (farmacologica, psicologica, abilitativa e riabilitativa) e al reinserimento sociale dei giovani pazienti.
Le patologie trattate sono estremamente variegate e includono le disabilità intellettive, i disturbi dello spettro autistico, i disturbi della coordinazione e del controllo motorio, i disturbi del linguaggio e della comunicazione, i disturbi specifici dell’apprendimento (come dislessia, disgrafia, discalculia), il disturbo da deficit dell’attenzione e iperattività (ADHD), le disabilità complesse, le sindromi genetiche e le malattie degenerative del sistema nervoso. Oltre alle problematiche neurologiche, la NPIA si occupa anche di patologie di area psichiatrica, come disturbi affettivi, disturbi psicotici, disturbi del comportamento e della condotta, disturbi post-traumatici, gravi disturbi di personalità e disturbi della nutrizione (come l'anoressia e la bulimia nervosa).

Viene garantita la previsione e il monitoraggio dei percorsi di inserimento in strutture residenziali terapeutiche per quei pazienti che necessitano di interventi terapeutico-riabilitativi intensivi e complessi, e per i quali è opportuno prevedere una discontinuità con i contesti di vita familiari, al fine di offrire un ambiente più protetto e strutturato per il recupero.
La partecipazione attiva dei pazienti e delle loro famiglie è considerata un elemento imprescindibile ed essenziale del percorso di presa in carico. Questo approccio collaborativo favorisce una maggiore aderenza ai trattamenti e migliora l'efficacia degli interventi.
Aree di Attività e Competenza Specifica
Le aree di attività e competenza della NPIA sono molteplici e spaziano dalla fase iniziale di accoglienza e analisi della domanda, che implica l'ascolto attento delle preoccupazioni di genitori e pazienti, alla valutazione diagnostica approfondita. Successivamente, si procede alla definizione di programmi riabilitativi, abilitativi, terapeutici e socio-riabilitativi personalizzati. Questi programmi possono includere interventi neuromotori, psicomotori, del linguaggio, della comunicazione e dell'apprendimento, nonché attività volte al supporto delle risorse del contesto familiare e socio-ambientale della persona, promuovendo il suo inserimento e la sua integrazione.
La collaborazione con il Centro Sovrazonale di Comunicazione Aumentativa Alternativa (CSCA) del Policlinico di Milano è un esempio di integrazione con servizi specialistici per supportare i pazienti con gravi difficoltà comunicative. Vengono erogati interventi di sostegno psicologico a bambini e adolescenti, mirati a gestire le difficoltà emotive e comportamentali. La prescrizione e il controllo farmacologico rappresentano un aspetto cruciale della gestione di molte patologie neuropsichiatriche.
La struttura svolge inoltre attività di consulenza alle strutture di pediatria e ai Servizi Psichiatrici di Diagnosi e Cura (SPDC) dei tre Presidi Ospedalieri, fornendo supporto per i minori ricoverati che presentano problematiche neuropsichiatriche. Viene promossa l'integrazione operativa con i servizi "di confine", come la medicina preventiva, la pediatria di base, i consultori familiari, le Unità Operative Psichiatriche (UOP), i Servizi per le Dipendenze (SERD), al fine di creare una rete di supporto completa e coordinata.
La NPIA assolve agli obblighi istituzionali per il riconoscimento della situazione di handicap scolastico, secondo il D.L. 66/2017, e predispone la documentazione clinica necessaria ai fini del riconoscimento dell'invalidità civile. La certificazione per i disturbi specifici dell’apprendimento, in base alla legge 170/2010, è un altro servizio fondamentale offerto. Infine, la collaborazione con gli Enti deputati alla tutela dei minori, sia su provvedimenti richiesti dalla Magistratura sia in virtù della collaborazione con i Servizi Sociali e di Tutela, testimonia l'impegno della struttura nel garantire il benessere e la protezione dei minori.
Struttura Organizzativa e Team Multiprofessionale
L'équipe che opera all'interno del servizio è multi professionale e si compone di Neuropsichiatri Infantili, Psicologi, Terapisti della Neuropsicomotricità dell’Età Evolutiva, Logopedisti, Pedagogisti, Tecnici della Riabilitazione Psichiatrica e Assistenti Sociali. Questa diversità di competenze garantisce un approccio olistico e integrato alla presa in carico del paziente.
Viene garantito un modello di intervento integrato, che si sviluppa in raccordo continuo con altri servizi sanitari, sociali, educativi, con le organizzazioni di volontariato e il terzo settore. Il Servizio è organizzato in tre Poli Territoriali (Gorgonzola, San Donato e Rozzano), ai quali afferiscono ambulatori riabilitativi situati in altri Comuni di pertinenza, con l'obiettivo di rendere i servizi più accessibili alla popolazione per la presa in carico riabilitativa. Attualmente, la sede NPIA di Gorgonzola è temporaneamente chiusa, e le attività sono state trasferite presso la sede di Cernusco, all'interno dell'Ospedale, Via Uboldo, 21. Questa riorganizzazione logistica mira a garantire la continuità assistenziale e l'efficienza dei servizi offerti.
tags: #marzorati #neuropsichiatra #infantile